容淑萍牙醫擅長治療牙周病 診所擴張高科技植牙每隻減$600

容淑萍牙醫喬遷擴張新診所,地方寬敞,大型治療室,全部現代數碼化。

紐約訊

在紐約華埠執業逾多年的容淑萍牙醫,為提供病患更便捷、更舒適之治療環境,於日前喬遷至拉菲逸街101號6樓新址。容淑萍醫生的新診所面積四千餘方呎,距離堅尼路地鐵出口僅一街之隔,位於華埠中心,地方寬敞舒適,而且設備精良,無論是裝璜、一切治療的設施,都是經過設計師的別具匠心,精心設計全部數碼化。

為慶祝喬遷擴張暨周年紀念,前來惠顧植牙每隻減$600。
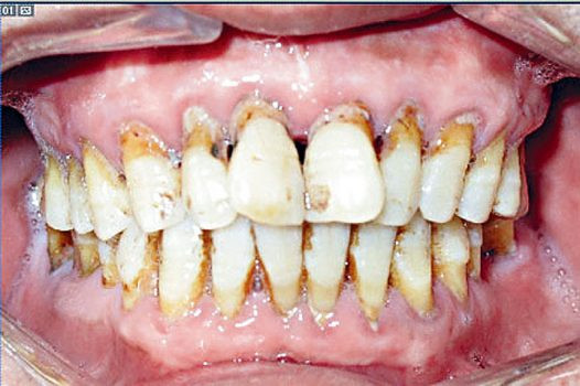
牙周病是一般華人常見的牙疾,華埠著名牙醫容淑萍指出,一般35歲以上的成年人都會患有輕度、中度或嚴重牙周炎,假如發現得早,加上適當的治療,大部分都可以醫治。
牙周病是一種漸進性疾病,是由於細菌侵蝕牙齦和牙齒分離,導致牙齦和支持牙齒的骨骼發炎或受感染,若不及早治療,牙周炎會令牙肉收縮,破壞牙肉及牙骨組織,從而使牙肉發生紅腫,含膿,鬆弛和容易流血、情況會越來越壞,到了晚期,發炎的牙齦會和牙齒分離,支持的骨骼也被破壞,牙齒鬆動,最終要拔掉。
容淑萍醫生說,假如民眾有以下狀況出現:
1.刷牙流血;2.牙肉或牙齒與牙齒間呈紅腫顏色;3.咀嚼食物時疼痛;4.牙齒疏鬆;5.口臭;6.對冷和熱的飲料或食物會有敏感疼痛現象,可能已患有牙周病,應立刻做檢查,找尋適當的牙周炎治療。
如發現有牙周炎,應立刻前往牙醫診所作檢查,找尋適當的治療及保留您的牙齒。預防牙周炎要注意以下幾點:
半年一次清洗牙齒,將牙漬清洗,然後加上保護膜,增強保護牙質。倘若有嚴重牙周炎,動手術將收縮牙齦部分的壞細胞清除,讓牙骨與牙肉重新依附在牙齦上,令牙齒堅固。或種植新的人造牙骨粉,令疏松的牙齒重生後增加骨質,便可改善牙齒疏松問題,令牙齒變得更堅固,倘若有輕度、中度牙周炎,需要進行深切洗牙治療將牙肉紅腫部分的壞細胞清除,加上各方面配合,牙周炎就可以醫治。牙周炎需要適當治療和保養來配合,吸煙人士或糖尿病患者更加需要注意,此外,牙周炎亦有遺傳性,如果你有任何牙周症狀,請盡快聯絡你的牙醫。
容醫生並指出:種植牙也叫人工植牙,是通過醫學方式將與人體骨質兼容性高的純鈦金屬。經過精密的設計,製成類似牙根的圓柱體或其他形狀,以外科小手術的方式植入缺牙區的牙槽骨內,經過1-3個月後,當人工植牙與牙槽骨吻合。再在上面接上一顆連接器和烤瓷牙冠即牙套。因不具破壞性,種植牙已被醫學界公認為缺牙的首選修復方式。口腔植入的種植牙,可承受正常的咀嚼力量。功能和美觀上幾乎和自然牙齒一樣,因此,被人們稱為人類的第三副牙齒。一般種植牙使用的年限長,植牙後如口腔能經常定期檢查,所植牙的使用維持時間,可以和真牙一樣。
其實植牙手術本身非常可靠而且不會造成疼痛,一般患者於手術一天後便可正常飲食,也無後遺症、疼痛及其他問題。植牙本身可分為鈦金屬螺絲(Pure titanium dental implants)、連接器以及牙套三個部份,治療時間通常從開始進行起為期二至四個月。植牙的手術則可分為兩個步驟,第一個步驟是將鈦金屬螺絲植入骨髓,骨頭恢復需時約2個月,第二步驟則將橋台置入,最後將牙套裝上。
植牙除了能替代補缺的牙齒之外,也能使現有的活動假牙更加固定,許多安裝活動假牙的患者,最大的困擾就是假牙不穩,尤其是在飲食及談話當中,全口無牙固定牙橋則是讓活動假牙增加穩固性的最佳辦法,祗要在牙床骨內種植固定的牙根,將假牙留在牙根上,便能使假牙固定,不再受活動假牙鬆脫的困擾,基本上,無論是需要替補少數失去的牙齒,或是需要固定活動假牙,植牙是牙醫學界目前一致認同的最佳辦法。
容醫生主治牙齒矯正,美容牙科,鐳射手術,杜牙根,鐳射漂白,急性牙患,植牙假牙,牙套牙橋,兒童牙科及牙週病治療。容淑萍牙醫診所接受政府及大部份牙科醫療保險。無保險特價優惠。該診所職員並精通國、粵、英語、臺山話等,新移民保證無語言隔膜。
新診所地址:
紐約華埠拉菲逸街101號6樓,101 Lafayette St., 6/F NYC 10013
電話:212-226-6368
應診時間:每週7天,10am至6:30pm
歡迎登入網頁:www.drrongdds.com

擅長醫治牙周病之容淑萍牙醫指出,牙周病是僑胞常見之牙患,如不及時治療會導致牙齦收縮牙齒脫落。

商情